首頁
台灣
世界
動物
圖文
娛樂
女生
出門
動漫
生活
公關專欄
編輯專欄
網人365
選擇語言:
還原
简体
繁體
關於我們
徵才
聯絡我們
刊登廣告
安卓APP
愛瘋APP
選單
首頁
台灣
世界
動物
娛樂
電影
星聞
影評
美漫
圖文
女生
時尚單品
美妝
感情
出門
旅遊
美食
動漫
動漫宅
遊戲
Cosplay
生活
求職
藝術
知識
星座
科技
小物
親子
公關專欄
編輯專欄
蘑菇宅
雪若Q談人蔘
Adrian
ChloE直講
網人365
今日紅什麼
本週主打星
TEEPR原創影片
叭啦叭啦研究室
TEEPR推一波
亮新聞
IG專區
首頁
台灣
世界
動物
圖文
娛樂
女生
出門
動漫
生活
公關專欄
編輯專欄
網人365
Monthly Archive::
March 2018
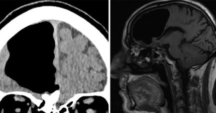
男子被驗出「巨大腦洞」,「半個大腦不見了」但仍跟我們一樣正常!醫生這樣解釋
March 21, 2018
台灣
,
世界
姑嫂水泥封屍靈感!香港43年前「灶底藏屍案」啟發水泥墓塚計畫,狠毒大嫂淡定「就是看她不爽」把電影手法真實上演!
March 21, 2018
世界
一張圖看出「台灣薪資水準有多丟臉」!不只慘輸香港還「差點慘過第三世界」勞動部:不能這樣比啦
March 21, 2018
世界
10種幾乎沒有保存期限的「世界末日就靠它」食品。酒鬼都懂!
March 21, 2018
美食
,
世界
林志玲5000萬豪宅藏「暴龍王子」,甜蜜窗台閒晃「共築愛巢」網友爆:婚禮場地被退訂就是因為他們!
March 21, 2018
星聞
,
台灣
館長怒退花蓮地震捐款「遭酸民洗臉作戲」,他霸氣回應:靠8!3小!這我的錢!
March 21, 2018
台灣
,
世界
後代子孫可能「只剩標本可以看」,最後1隻北非白犀牛送安樂死「動保人員崩潰」:愛他所以讓他走….
March 21, 2018
台灣
,
世界
,
動物
台中「怨靈透天厝」塞滿動物靈體和男人死靈,玄天上帝都救不了:快搬家!屋主回:他自導自演想害我!
March 21, 2018
台灣
,
世界
真實版《初戀那件小事》!75KG壯壯妹單戀校草2年,為了被看見「狂鏟27KG肉」正到輕鬆捕獲男神
March 21, 2018
世界
鑑識學家設「真實照妖鏡網站」正妹自拍照「假奶秒現形」!金正恩修圖超明顯…
March 20, 2018
藝術
,
世界
,
科技
75公斤胖妹靠運動狂瘦25公斤,PO「潛力股驚人亮點照」網直呼:那個胸~羨慕
March 20, 2018
世界
10個看出「現代爸媽真的都寵壞孩子」的過去VS現代悲慘比對照
March 20, 2018
世界
跳轉頁面
« 第一頁
‹ 上一頁
28
29
30
31
32
33
34
35
36
37
38
下一頁 ›
最後一頁 »
← Older posts
Newer posts →
兒童不宜內容
此內容只給年滿18歲的讀者觀看,如非18歲請退出!
我大人了啦!
未滿18歲
cwv3_den_title
cwv3_den_msg
未滿18歲